Tilaajille

Yli­ham­mas­lää­kä­ri mu­reh­tii poh­ja­lais­per­hei­den syö­mis­tot­tu­muk­sia – "Osalla suun terveys on todella huono"

Seinäjoki
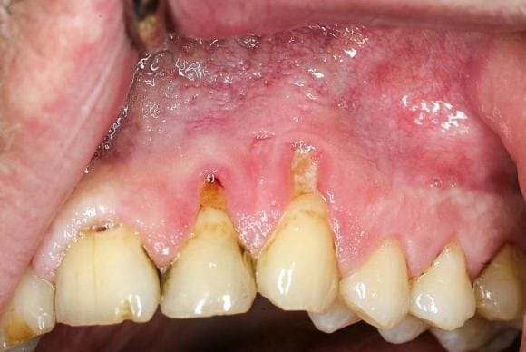
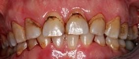
Ylihammaslääkäri kannustaa eteläpohjalaisia kiinnittämään huomiota ruokailutottumuksiin. Nuuskaus puolestaan altistaa syövän esiasteisille limakalvomuutoksille.
Ylihammaslääkäri kannustaa eteläpohjalaisia kiinnittämään huomiota ruokailutottumuksiin. Nuuskaus puolestaan altistaa syövän esiasteisille limakalvomuutoksille.

Kerrotaan aluksi hyvät uutiset.

Eteläpohjalaisten suun terveys näyttää parantuneen vuosien 2019–2022 välillä. Viime vuoden tilastotietoa ei ole vielä saatavilla.

– Tervehampaisten 12-vuotiaiden osuus on kasvanut noin 10 prosenttia viiden viime vuoden aikana. Mutta edelleen kolmasosalla 12-vuotiaista on hampaistossa hoitoa vaativaa kariesta, kertoo ylihammaslääkäri Jaakko Anttila Etelä-Pohjanmaan hyvinvointialueelta.

Haluatko jatkaa lukemista?

Tilaa I-P Digi ensimmäiset 2 kk yhteensä 9,90 €

Mainos
Ilkka-Pohjalaisen pelit

Pelaa Ilkka-Pohjalaisen digitaalisia pelejä

Aivojumppaa tai rentoa ajanvietettä – tutustu peleihin ja löydä suosikkisi

Aloita pelaaminen
Ilmoita asiavirheestä